How to Prevent Bleeding Gums? Saraj Dent Tips

How to Prevent Bleeding Gums? Saraj Dent Tips

11 DECEMBER 2025

Preventive Care

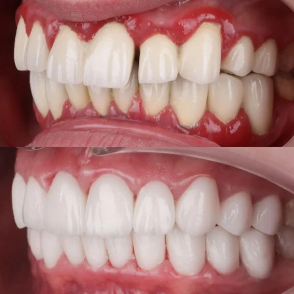
Bleeding gums is a common dental problem, yet many people still consider it harmless. Any gum bleeding indicates inflammation, and it’s important to treat it promptly.

In most cases, bleeding gums are caused by gingivitis, the early stage of gum disease. If left untreated, gingivitis can progress to periodontitis, a more serious condition that may lead to gum recession and tooth loss. The good news is that early-stage gum inflammation can be completely reversed with proper oral hygiene and professional dental care.

Plaque and Tartar – The Most Common Cause of Gum Bleeding

The primary cause of bleeding gums is plaque buildup—a soft bacterial layer that forms within hours after brushing. If not removed with proper brushing technique, plaque hardens into tartar (calculus). Tartar strongly adheres to teeth and constantly irritates the gums, causing inflammation and bleeding.

It’s important to note that tartar cannot be removed at home, no matter how vigorously you brush. The only effective solution is professional teeth cleaning at a dental clinic.

Inadequate or Improper Oral Hygiene

Sometimes patients brush regularly but still experience bleeding. In most cases, this is due to incorrect brushing technique. People often clean visible front surfaces well, but interdental areas are neglected, which is where inflammation usually starts.

Plaque left between teeth continues to irritate the gums, causing inflammation to persist for months if untreated.

Choosing the Wrong Toothbrush or Brushing Technique

Although soft toothbrushes are generally recommended, brushing technique is crucial. Hard back-and-forth scrubbing does not remove plaque under the gum line, where inflammation begins. Toothbrushes should follow the gum line using gentle circular motions, reaching all hard-to-clean areas.

On the other hand, hard-bristled brushes can further irritate inflamed gums.

Carbonated Drinks and Acidic Foods as Irritation Factors

Many people don’t realize that soda, energy drinks, and acidic foods can significantly contribute to gum inflammation. These beverages and foods increase acidity in the mouth, irritate gum tissue, and accelerate plaque formation. Frequent consumption exposes gums to constant irritation, making them more sensitive and prone to bleeding.

Dry Mouth and Low Saliva Production

Saliva is a natural defense for oral health. Low saliva levels cause plaque buildup to accelerate and make gums more sensitive. Dry mouth may result from certain medications, stress, mouth breathing, or inadequate water intake. Patients with dry mouth almost always experience more pronounced gum bleeding.

How to Recognize Gum Inflammation

Bleeding is the easiest symptom to notice, but it’s not the only sign of gum disease. Swollen, tender, or sensitive gums, redness along the gum line, bad breath, and a feeling of gum tightness or recession are all indications of gingivitis.

The important fact is that gingivitis is fully reversible if detected and treated early.

How to Prevent Gum Inflammation and Stop Bleeding

The foundation of treatment is proper brushing twice a day, for at least 2–3 minutes. Focus especially on the gum line, where plaque tends to accumulate. Use gentle circular motions for thorough cleaning.

Equally important is interdental cleaning. Dental floss and interdental brushes remove plaque that regular brushing cannot reach. Just a few days of proper interdental hygiene can noticeably reduce bleeding.

If tartar is present, professional dental cleaning is essential. As long as tartar remains, inflammation will persist despite home care.

Mouth rinses with chlorhexidine may help temporarily, usually for 7–10 days. An oral irrigator can also support hygiene, especially for bridges and braces, but it cannot replace brushing and interdental cleaning.

Reducing carbonated and acidic drink intake also helps soothe inflammation. If consumed, it’s best to drink them with meals, use a straw, and rinse your mouth with water afterward.

Conclusion

Bleeding gums should never be considered normal. It is a clear sign of gum inflammation that requires attention. With proper oral hygiene, professional tartar removal, and avoidance of irritants, gums usually recover quickly.

Healthy gums do not bleed. If you notice bleeding while brushing, your body is sending an important message—it’s time to see a dentist. Saraj Dent Dental Clinic in Sarajevo is available for check-ups, advice, and professional treatment.

Schedule
A Consult

termini