Kompozitne nadopune: precizna i prirodna korekcija osmijeha | Saraj Dent

Kompozitne nadopune: precizna i prirodna korekcija osmijeha | Saraj Dent

22 DECEMBAR 2025

Estetska stomatologija

Kompozitne nadopune predstavljaju minimalno invazivnu estetsku metodu kojom se nadoknađuje izgubljena struktura zuba ili zatvaraju mali razmaci, poput dijasteme. Ova tehnika se posebno cijeni u modernoj estetskoj stomatologiji jer omogućava vidljivo poboljšanje izgleda osmijeha bez agresivnih intervencija.

U stomatološkoj ordinaciji Saraj Dent u Sarajevu, kompozitnim nadopunama pristupamo kao dijelu individualnog estetskog plana. Prije zahvata analiziramo oblik, proporcije i boju zuba kako bi se nadopuna uklopila potpuno prirodno, bez osjećaja da je nešto “dodatno” ili neprirodno. Cilj je postići balans, simetriju i osvježen izgled osmijeha, uz maksimalno očuvanje prirodnog zubnog tkiva.

Kako izgleda postupak?

Sam postupak je bezbolan i izvodi se u jednoj posjeti. Materijal se precizno oblikuje direktno na zubu, sloj po sloj, sve dok se ne postigne željena forma. Nakon finalnog poliranja, površina dobija prirodan sjaj i glatkoću, tako da se nadopune potpuno stapaju s postojećim zubima.

Pacijenti se za ovaj tretman odlučuju kada žele suptilnu, ali vidljivu promjenu, posebno u situacijama gdje je bitno da osmijeh izgleda što prirodnije. Kompozitne nadopune često su prvi korak u putu ka savršenom osmijehu, a mogu biti i alternativa većim estetskim zahvatima kada je struktura zuba zdrava i stabilna.

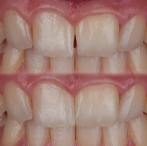
Kompozitne nadopune – konačan rezultat

Za koga su kompozitne nadopune idealne?

Ako razmišljate o minimalnoj estetskoj korekciji, zatvaranju razmaka ili suptilnom poboljšanju oblika zuba, kompozitne nadopune mogu biti rješenje koje pruža odličan estetski efekat uz maksimalno očuvanje prirodnog zubnog tkiva.

U Saraj Dent stomatološkoj ordinaciji u Sarajevu vodimo računa da svaki zahvat izgleda prirodno, harmonično i prilagođeno vašem osmijehu.

Najčešća pitanja o kompozitnim nadopunama (FAQ)

Koliko traju kompozitne nadopune?

Trajanje kompozitnih nadopuna zavisi od higijene, navika i redovnih kontrola. U praksi, pacijenti u Saraj Dent ordinaciji u Sarajevu godinama uživaju u stabilnom i prirodnom rezultatu, posebno kada se nadopune rade u sklopu estetske stomatologije uz precizno modeliranje.

Da li kompozitne nadopune izgledaju prirodno?

Da, kompozit se tonira i oblikuje tako da se savršeno uklopi s postojećim zubom. U Saraj Dentu vodimo računa da svaki rezultat bude u skladu s anatomijom zuba i estetskim standardima.

Da li je postupak bolan?

Ne, kompozitne nadopune su minimalno invazivan i potpuno bezbolan estetski tretman. Pacijenti u našoj stomatološkoj ordinaciji u Sarajevu najčešće opisuju iskustvo kao lagano, brzo i ugodno, bez potrebe za anestezijom u većini slučajeva.

Ko je idealan kandidat za kompozitne nadopune?

Savršen su izbor za osobe koje žele zatvoriti mali razmak između zuba, popraviti oblik ili proporcije jedinica i postići ljepši osmijeh bez brušenja. Ako tražite diskretnu, prirodnu korekciju i estetsko rješenje u Sarajevu, kompozitne nadopune u Saraj Dent ordinaciji su odlična opcija.

Kako se kompozitne nadopune razlikuju od drugih estetskih tretmana?

Za razliku od keramičkih faseta i većih protetskih radova, kompozitne nadopune su brze, nježne prema zubu i idealne kada je cilj minimalna, ali vidljiva estetska promjena. Zato su čest izbor pacijenata koji žele prirodan rezultat uz što manje intervencije.

Zakaži Svoj
Termin

termini